Table of Contents
« prev
next »
Washington University Experience
|
NORMAL
|
Pineal gland
|
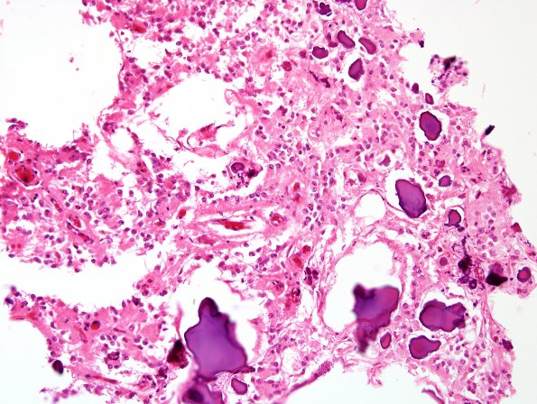
4A2 Pineal (Case 4) H&E 2
4A2,3 Calcium concretions are admixed with pineocytes and their processes (H&E)
Image Info
Camera Maker:
Olympus Corporation
Camera Model:
DP70
Original Time Taken:
03-07-2014
Shutter Speed:
1/1400 sec
ISO Sensitivity:
200
Metering Mode:
Spot
Gallery RSS
|
Archive View
|
Login
|
Powered by
Zenphoto