Table of Contents
« prev
next »
Washington University Experience
|
NORMAL
|
Pineal gland
|
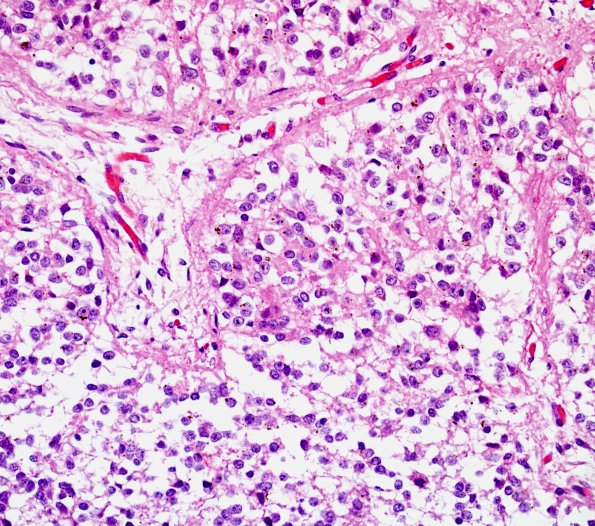
5A3 Pineal (Case 5) H&E 1
Pineal parenchyma varies in preserved pineocytes and degenerative changes.
Image Info
Camera Maker:
Olympus Corporation
Camera Model:
DP70
Original Time Taken:
24-11-2015
Shutter Speed:
1/142 sec
ISO Sensitivity:
200
Metering Mode:
Spot
Gallery RSS
|
Archive View
|
Login
|
Powered by
Zenphoto