Table of Contents
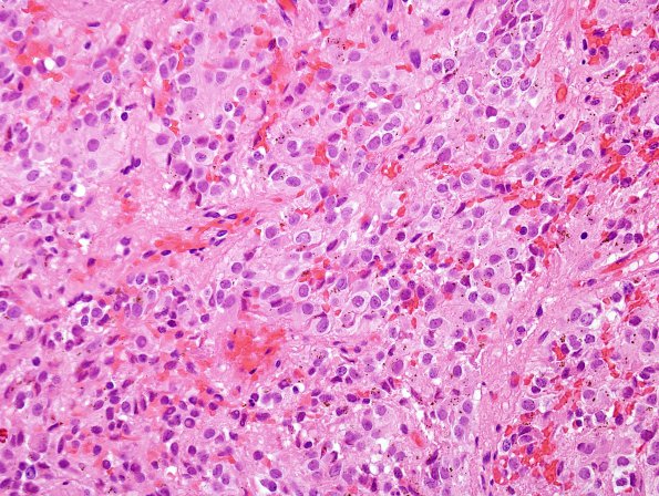
Washington University Experience | NORMAL | Pineal gland | 8A1 Pineal, normal (Case 7) H&E A
8A1,2 This surgically resected specimen does not show the obvious nesting of prior specimens and may occasionally be confused for neoplasm (H&E)
