Table of Contents



Washington University Experience | NORMAL | Pituitary gland | 1C Pituitary, normal H&E whole mount

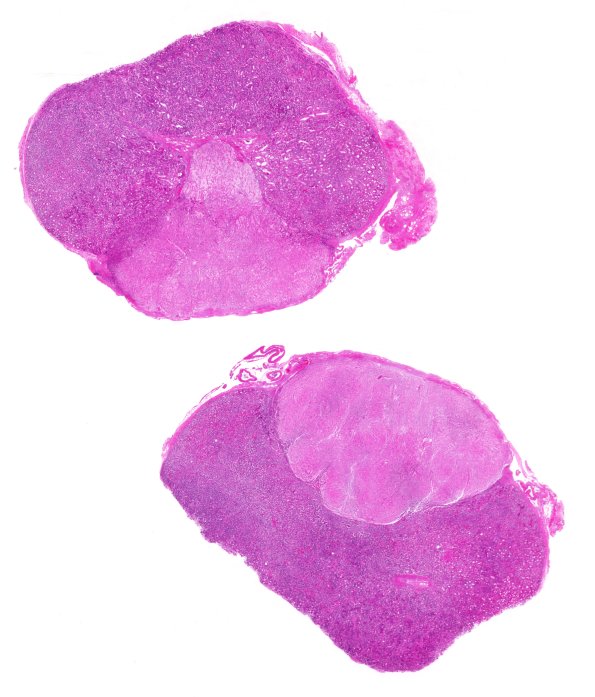
1C Pituitary, normal H&E whole mount
Additional pituitaries from other patients oriented to show the adenohypophysis and neurohypophysis. (H&E)


Gallery RSS RSS Feed | Archive View | Login | Powered by Zenphoto