Table of Contents
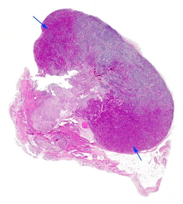
Washington University Experience | NORMAL | Pituitary gland | 1D1 Pituitary, acidophil islands H&E whole mount copy
1D1,2 The cells in the pituitary are not homogenously distributed. The arrows in this case identify the “acidophil wings” whose acidophil cells are illustrated in 1D2. (H&E)
