Table of Contents
Washington University Experience | NORMAL | Pituitary gland | 2A1 Pituitary, normal H&E copy
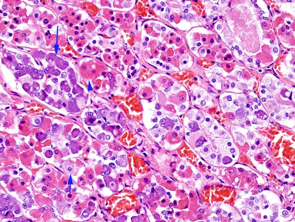
This is a typical normal pituitary adenohypophysis with cells arranged in acini. The classical names for the cells are acidophils (arrowhead), basophils (long arrow) and chromophobes (short arrow). (H&E)
