Table of Contents
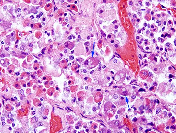
Washington University Experience | NORMAL | Pituitary gland | 2A2-Pituitary-normal-basophils-lysosomal-vacuoles-60X-copy.jpg
Basophils typically show vacuoles in their cytoplasm (arrows) called enigmatic bodies, which represent complex lysosomes. (H&E)
