Table of Contents
« prev
next »
Washington University Experience
|
NORMAL
|
Pituitary gland
|
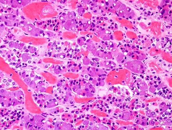
2D-Pituitary-enigmatic-bodies-H-E-1.jpg
Notice how reproducible the enigmatic bodies are in basophils (largely) sparing eosinophils. (H&E)
Image Info
Camera Maker:
Olympus Corporation
Camera Model:
DP70
Original Time Taken:
06-02-2016
Shutter Speed:
1/146 sec
ISO Sensitivity:
200
Metering Mode:
Spot
Gallery RSS
|
Archive View
|
Login
|
Powered by
Zenphoto