Table of Contents
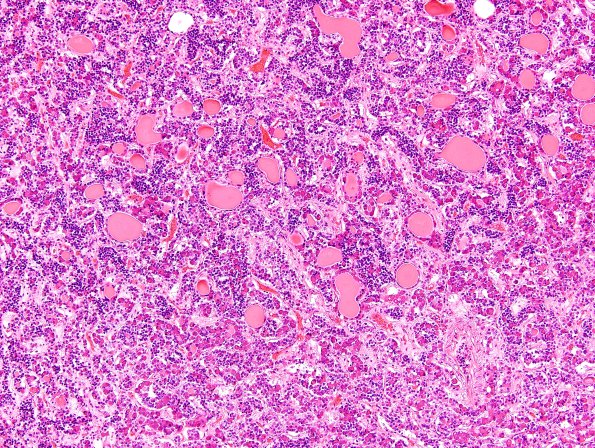
Washington University Experience | NORMAL | Pituitary gland | 3A1 Pituitary Follicles H&E 11
3A1-3 Eosinophilic follicles are a common finding in the normal anterior pituitary. They are more numerous in the adenohypophysis shown in 3A1 than in typical glands. (H&E)
