Table of Contents
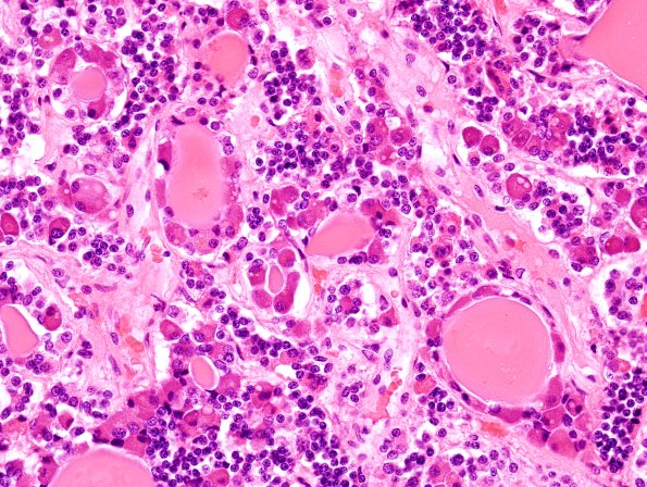
Washington University Experience | NORMAL | Pituitary gland | 3A2 Pituitary Follicles H&E 13 (2)
Eosinophilic follicles are a common finding in the normal anterior pituitary. They are more numerous in the adenohypophysis shown in 3A1 than in typical glands. (H&E)
