Table of Contents
Washington University Experience | NORMAL | Pituitary gland | 3A3-Pituitary-normal-H-E-1.jpg
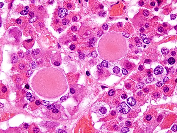
Eosinophilic follicles are a common finding in the normal anterior pituitary. They are more numerous in the adenohypophysis shown in 3A1 than in typical glands. (H&E)
