Table of Contents
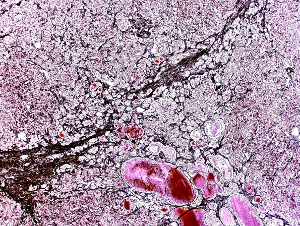
Washington University Experience | NORMAL | Pituitary gland | 4A1 Pituitary, normal G-L Retic
4A1-3 The cells in the normal pituitary adenohypophysis are typically arranged in small acini which are well shown in this reticulin stain. (retic)
