Table of Contents
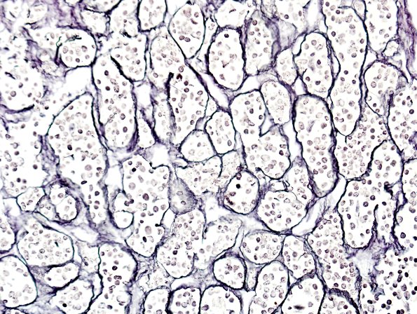
Washington University Experience | NORMAL | Pituitary gland | 4A3 Pituitary, normal Retic 1
The cells in the normal pituitary adenohypophysis are typically arranged in small acini which are well shown in this reticulin stain. (retic)
