Table of Contents



Washington University Experience | NORMAL | Pituitary gland | 4B3 Pituitary, normal AB-PAS-H-OG 1

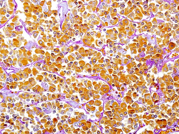
4B3 Pituitary, normal AB-PAS-H-OG 1
Mostly acidophils in this acidophil wing. (PAS-OG-H-AB)


Gallery RSS RSS Feed | Archive View | Login | Powered by Zenphoto