Table of Contents
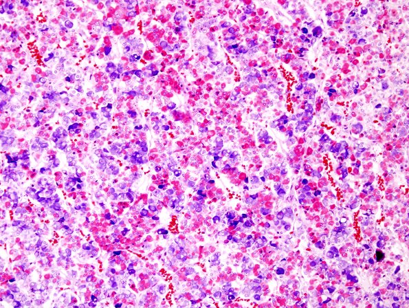
Washington University Experience | NORMAL | Pituitary gland | 4C1 Normal Pituitary Gland Mann stain 3
4C1-3 This gland, significantly disrupted, is stained with the Mann stain (methyl blue-eosin stain) which stains acidophils red, basophils blue and chromophobes gray to light pink. (Mann stain)
