Table of Contents
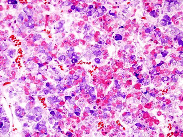
Washington University Experience | NORMAL | Pituitary gland | 4C2 Normal Pituitary Gland Mann stain 1 (2)
This gland, significantly disrupted, is stained with the Mann stain (methyl blue-eosin stain) which stains acidophils red, basophils blue and chromophobes gray to light pink. (Mann stain)
