Table of Contents
Washington University Experience | NORMAL | Pituitary gland | 4C3 Normal Pituitary Gland Mann stain 2 (2)
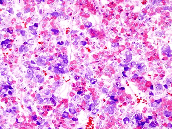
This gland, significantly disrupted, is stained with the Mann stain (methyl blue-eosin stain) which stains acidophils red, basophils blue and chromophobes gray to light pink. (Mann stain)
