Table of Contents
« prev
next »
Washington University Experience
|
NORMAL
|
Pituitary gland
|
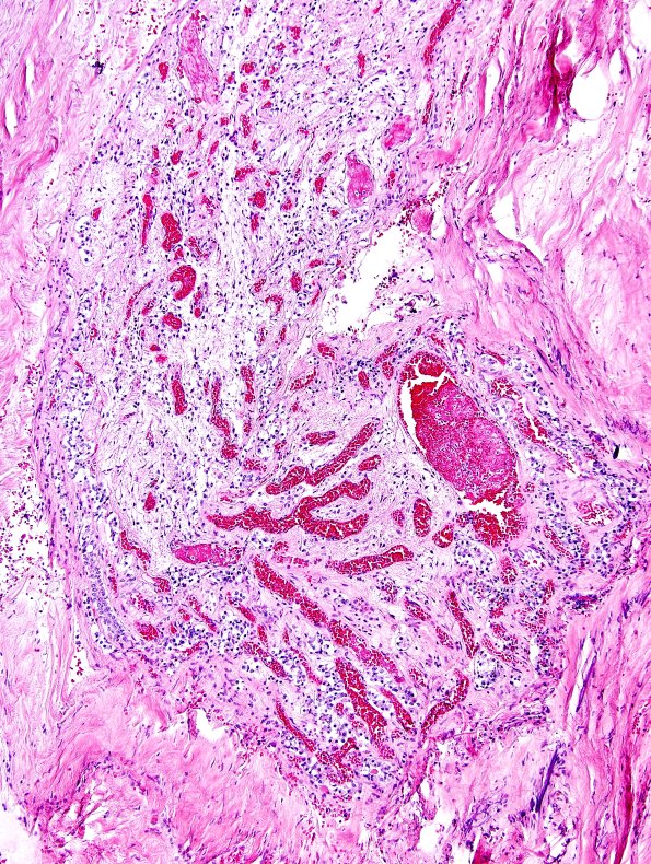
5A2-Pituitary-Stalk-Vasculature-H-E-1.jpg
The stalk is rich in thin walled vasculature from the hypothalamus. (H&E)
Image Info
Camera Maker:
Olympus Corporation
Camera Model:
DP70
Original Time Taken:
15-03-2015
Shutter Speed:
1/420 sec
ISO Sensitivity:
200
Metering Mode:
Spot
Gallery RSS
|
Archive View
|
Login
|
Powered by
Zenphoto