Table of Contents



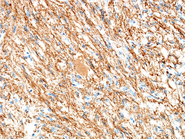
Washington University Experience | NORMAL | Pituitary gland | 5B2 Pituitary gland normal SYN 1 (2)

5B2 Pituitary gland normal SYN 1 (2)
The stalk in this patient is stained with synaptophysin which labels the Hering bodies. (SYN IHC)


Gallery RSS RSS Feed | Archive View | Login | Powered by Zenphoto