Table of Contents



Washington University Experience | NORMAL | Pituitary gland | 5B3 Pituitary gland normal SYN 5 copy

5B3 Pituitary gland normal SYN 5 copy
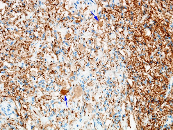
The stalk in this patient is stained with synaptophysin which labels the Hering bodies (arrows). (SYN IHC)


Gallery RSS RSS Feed | Archive View | Login | Powered by Zenphoto