Table of Contents



Washington University Experience | NORMAL | Pituitary gland | 5C2 Pituitary stalk, squamous islands H&E 3

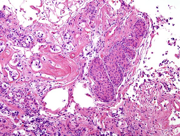
5C2 Pituitary stalk, squamous islands H&E 3
5C1-4 The stalk often contains squamous islands called “Erdheim rests”. (H&E)


Gallery RSS RSS Feed | Archive View | Login | Powered by Zenphoto