Table of Contents



Washington University Experience | NORMAL | Pituitary gland | 5C3 Pituitary stalk, squamous islands H&E 1

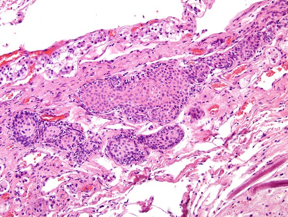
5C3 Pituitary stalk, squamous islands H&E 1
The stalk often contains squamous islands called “Erdheim rests”. (H&E)


Gallery RSS RSS Feed | Archive View | Login | Powered by Zenphoto