Table of Contents



Washington University Experience | NORMAL | Pituitary gland | 5C4 Pituitary stalk, squamous islands H&E 2

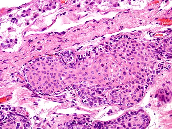
5C4 Pituitary stalk, squamous islands H&E 2
Higher magnification of image #5C3. (H&E)


Gallery RSS RSS Feed | Archive View | Login | Powered by Zenphoto