Table of Contents
Washington University Experience | NORMAL | Pituitary gland | 6A1 Pituitary, Normal Gland H&E 1 copy
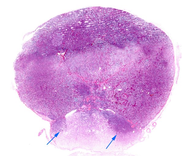
6A1,2 The posterior pituitary often shows an apparent “invasion” by basophils which is a normal variation which may cause some confusion with metastatic spread to the pituitary and usually do not form normal acini. (H&E)
