Table of Contents



Washington University Experience | NORMAL | Pituitary gland | 6B3 Pituitary, basophil invasion H&E 2

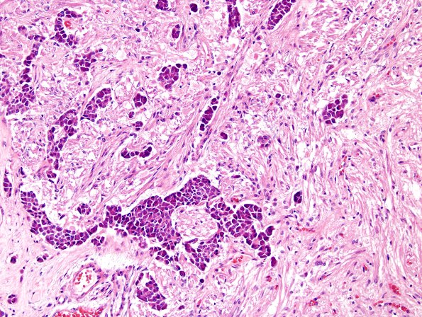
6B3 Pituitary, basophil invasion H&E 2
Increasing magnification of basophil invasion giving second thought as a possible metastasis. (H&E)


Gallery RSS RSS Feed | Archive View | Login | Powered by Zenphoto