Table of Contents



Washington University Experience | NORMAL | Pituitary gland | 6C3 Pituitary, normal basophil invasion H&E 5

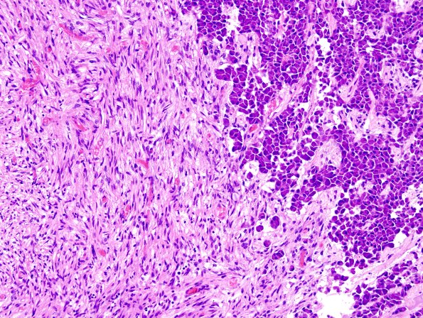
6C3 Pituitary, normal basophil invasion H&E 5
Increasing magnification of basophil invasion. (H&E)


Gallery RSS RSS Feed | Archive View | Login | Powered by Zenphoto