Table of Contents
« prev
next »
Washington University Experience
|
NORMAL
|
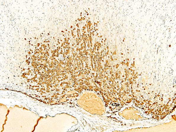
Pituitary gland
|
6D2-Pituitary-basophil-invasion-ACTH-10X.jpg
Basophil invasion at 3 magnifications immunostained for ACTH. (ACTH IHC)
Image Info
Camera Maker:
Olympus Corporation
Camera Model:
DP70
Original Time Taken:
21-12-2012
Shutter Speed:
1/235 sec
ISO Sensitivity:
200
Metering Mode:
Spot
Gallery RSS
|
Archive View
|
Login
|
Powered by
Zenphoto