Table of Contents
« prev
next »
Washington University Experience
|
NORMAL
|
Pituitary gland
|
6E1-Pituitary-basophil-invasion-H-E-3.jpg
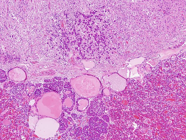
6E1-3 Another photogenic example of basophil invasion in the presence of intermediate lobe cysts. (H&E)
Image Info
Camera Maker:
Olympus Corporation
Camera Model:
DP70
Original Time Taken:
08-03-2013
Shutter Speed:
1/330 sec
ISO Sensitivity:
200
Metering Mode:
Spot
Gallery RSS
|
Archive View
|
Login
|
Powered by
Zenphoto