Table of Contents
« prev
next »
Washington University Experience
|
NORMAL
|
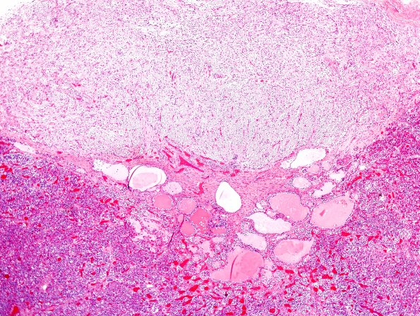
Pituitary gland
|
7B1-Pituitary-Intermediate-lobe-H-E-1.jpg
7B1-3 Numerous intermediate lobe cysts seen at different magnifications. (H&E)
Image Info
Camera Maker:
Olympus Corporation
Camera Model:
DP70
Original Time Taken:
20-06-2013
Shutter Speed:
1/1800 sec
ISO Sensitivity:
200
Metering Mode:
Spot
Gallery RSS
|
Archive View
|
Login
|
Powered by
Zenphoto