Table of Contents
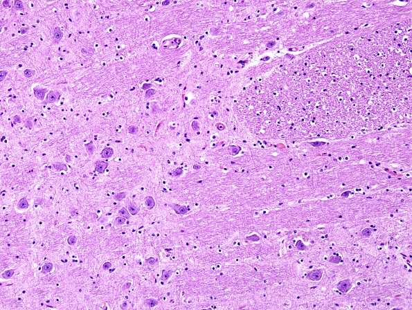
Washington University Experience | NORMAL | Pons | 1A3 Pons, normal (Case 1A) H&E 1
The striate pons showing dorsal IV ventricle and ventrally a mixture of pontine neurons, descending tracts and longitudinal transverse projections to the cerebellum. (H&E)
