Table of Contents



Washington University Experience | NORMAL | Pons | 2A3 Pons, normal (Case 1A) H&E 2

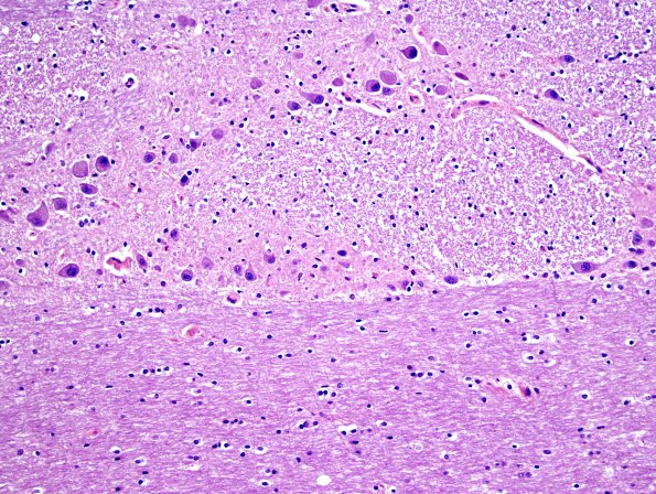
2A3 Pons, normal (Case 1A) H&E 2
The basis pontis in a normal adult demonstrating pontine nuclei, transverse and descending tracts at several descending tracts. (H&E)


Gallery RSS RSS Feed | Archive View | Login | Powered by Zenphoto