Table of Contents
« prev
Washington University Experience
|
NORMAL
|
Pons
|
5A3-Pons-Case-5-Plastic-20.jpg
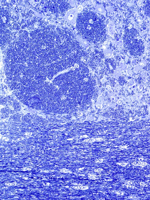
The pontine basis is shown in this one-micron thick toluidine blue stained plastic embedded section.
Image Info
Camera Maker:
Olympus Corporation
Camera Model:
DP70
Original Time Taken:
15-03-2013
Shutter Speed:
1/188 sec
ISO Sensitivity:
200
Metering Mode:
Spot
Gallery RSS
|
Archive View
|
Login
|
Powered by
Zenphoto