Table of Contents



Washington University Experience | PERIPHERAL NEUROPATHY | 0 PNS ARTIFACTS | 10A1 Artifact vascular intussusception (Level 1) H&E 2 copy

10A1 Artifact vascular intussusception (Level 1) H&E 2 copy
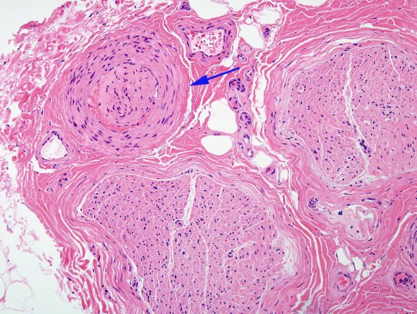
The vessels telescope internally (arrow) near crushed ends of nerve. (H&E)


Gallery RSS RSS Feed | Archive View | Login | Powered by Zenphoto