Table of Contents



Washington University Experience | PERIPHERAL NEUROPATHY | 0 PNS ARTIFACTS | 10A2 Artifact vascular intusseception (Level 2) H&E 1

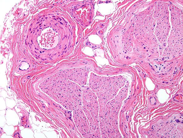
10A2 Artifact vascular intusseception (Level 2) H&E 1
Cutting deeper into the block of image #10A1 often corrects the problem. (H&E)


Gallery RSS RSS Feed | Archive View | Login | Powered by Zenphoto