Table of Contents



Washington University Experience | PERIPHERAL NEUROPATHY | 0 PNS ARTIFACTS | 10B3 Artifact VVG

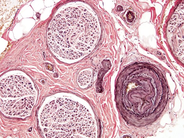
10B3 Artifact VVG
An elastin stain often demonstrates the relationship of the various wall elements. (VVG)


Gallery RSS RSS Feed | Archive View | Login | Powered by Zenphoto