Table of Contents
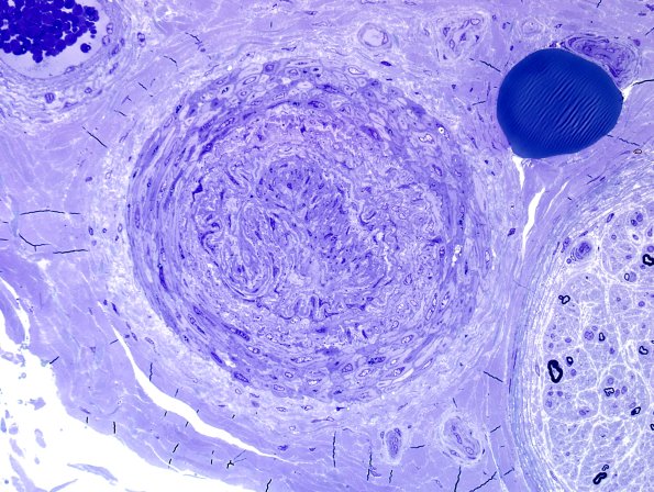
Washington University Experience | PERIPHERAL NEUROPATHY | 0 PNS ARTIFACTS | 10D Vessel, telescoped Plastic 1.jpg
Plastic sections demonstrating the artifactual nature of these telescoped vessels. (Toluidine blue stained one micron thick plastic embedded sections)
