Table of Contents
« prev
next »
Washington University Experience
|
PERIPHERAL NEUROPATHY
|
0 PNS ARTIFACTS
|
11C1 Artifact, Crush H&E 6.jpg
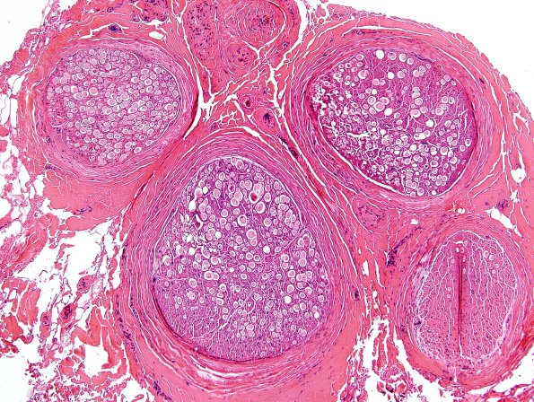
11C1-3 Multiple fascicles may be completely involved. (H&E)
Image Info
Camera Maker:
Olympus Corporation
Camera Model:
DP70
Original Time Taken:
04-12-2015
Shutter Speed:
1/395 sec
ISO Sensitivity:
200
Metering Mode:
Spot
Gallery RSS
|
Archive View
|
Login
|
Powered by
Zenphoto