Table of Contents
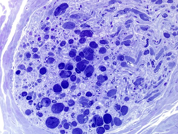
Washington University Experience | PERIPHERAL NEUROPATHY | 0 PNS ARTIFACTS | 12B Artifact, crush First sections Plastic 40X 1a.jpg
Notice how large the crushed axons are in comparison to adjacent intact axons. This is partly due to the targeting of large myelinated axons in comparison to uninvolved small myelinated axons. (Toluidine blue stained one micron thick plastic embedded sections)
