Table of Contents
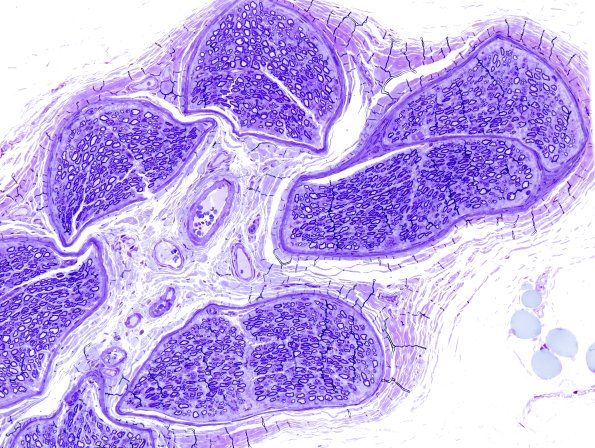
Washington University Experience | PERIPHERAL NEUROPATHY | 0 PNS ARTIFACTS | 12C2 Artifact, crush compare with adjacent block same nerve Plastic 20X 1.jpg
Two adjacent blocks of nerve with the first cut made before complete fixation and the second after fixation. (Toluidine blue stained one micron thick plastic embedded sections)
