Table of Contents
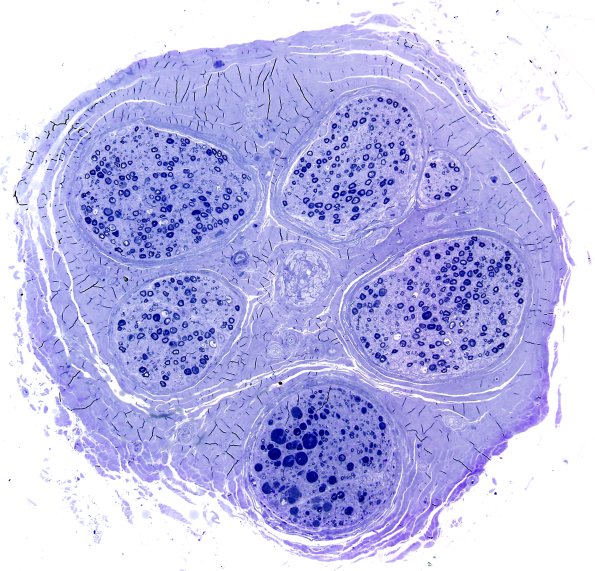
Washington University Experience | PERIPHERAL NEUROPATHY | 0 PNS ARTIFACTS | 12D3 Artifact, crush Deeper sections Plastic 10X.jpg
12D3,4 Deeper sections show much less artifact. (Toluidine blue stained one micron thick plastic embedded sections)
