Table of Contents
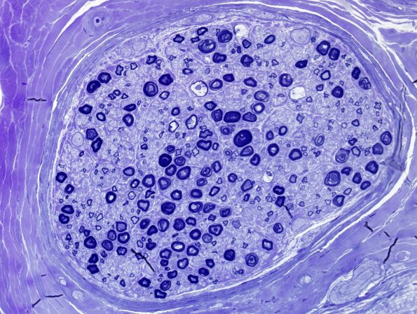
Washington University Experience | PERIPHERAL NEUROPATHY | 0 PNS ARTIFACTS | 12D4 Artifact, crush Deeper sections Plastic 40X 2 (2)a.jpg
Deeper sections show much less artifact. (Toluidine blue stained one micron thick plastic embedded sections)
