Table of Contents
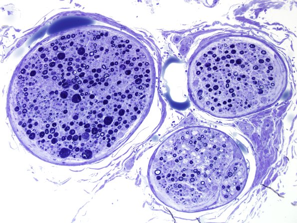
Washington University Experience | PERIPHERAL NEUROPATHY | 0 PNS ARTIFACTS | 12G Artifact and axonal degeneration, active Plastic 2
12G,H Note the patchy involvement of fascicles. (Toluidine blue stained one micron thick plastic embedded sections)
