Table of Contents



Washington University Experience | PERIPHERAL NEUROPATHY | 0 PNS ARTIFACTS | 12H Crush artifact Plastic 2

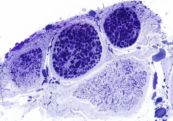
12H Crush artifact Plastic 2
Note the patchy involvement of fascicles. (Toluidine blue stained one micron thick plastic embedded sections)


Gallery RSS RSS Feed | Archive View | Login | Powered by Zenphoto