Table of Contents
Washington University Experience | PERIPHERAL NEUROPATHY | 0 PNS ARTIFACTS | 13A1 Artifact EM_003 - Copy
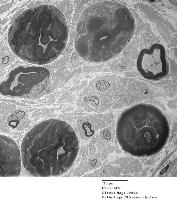
13A1-3 The appearance may superficially mimic degenerating axons. Small variable degenerative myelin fragments are not seen in the artifact. (electron micrograph)
