Table of Contents
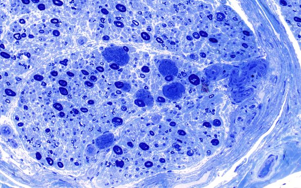
Washington University Experience | PERIPHERAL NEUROPATHY | 0 PNS ARTIFACTS | 14A1 Artifact, Axon-Myelin compression Plastic 40X 3
14A1,2 Particularly impressive are these very large myelinated axons with compression artifact. (Toluidine blue stained one micron thick plastic embedded sections)
