Table of Contents
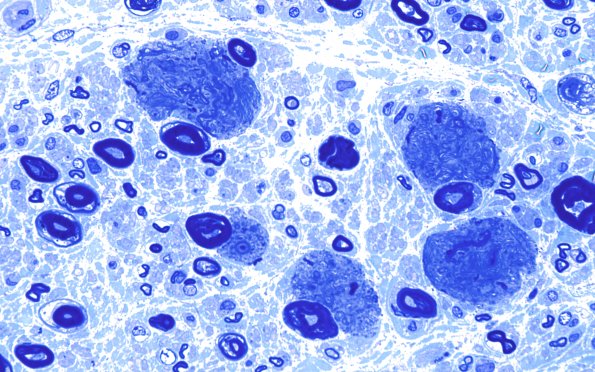
Washington University Experience | PERIPHERAL NEUROPATHY | 0 PNS ARTIFACTS | 14A2 Artifact, Axon-Myelin compression Plastic 100X 1
Higher magnification of these very large myelinated axons with compression artifact. (Toluidine blue stained one micron thick plastic embedded sections)
