Table of Contents



Washington University Experience | PERIPHERAL NEUROPATHY | 0 PNS ARTIFACTS | 14B1 EM_011 - Copy

14B1 EM_011 - Copy
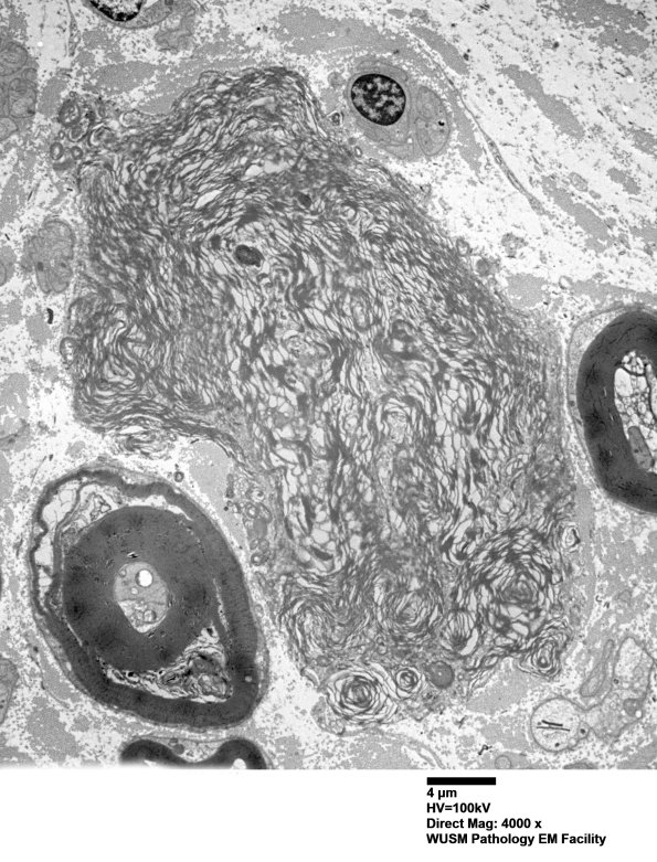
14B1-3 The enlarged structures are expanded loose collections of myelin. (electron micrographs)


Gallery RSS RSS Feed | Archive View | Login | Powered by Zenphoto