Table of Contents



Washington University Experience | PERIPHERAL NEUROPATHY | 0 PNS ARTIFACTS | 14B4 EM_017 - Copy

14B4 EM_017 - Copy
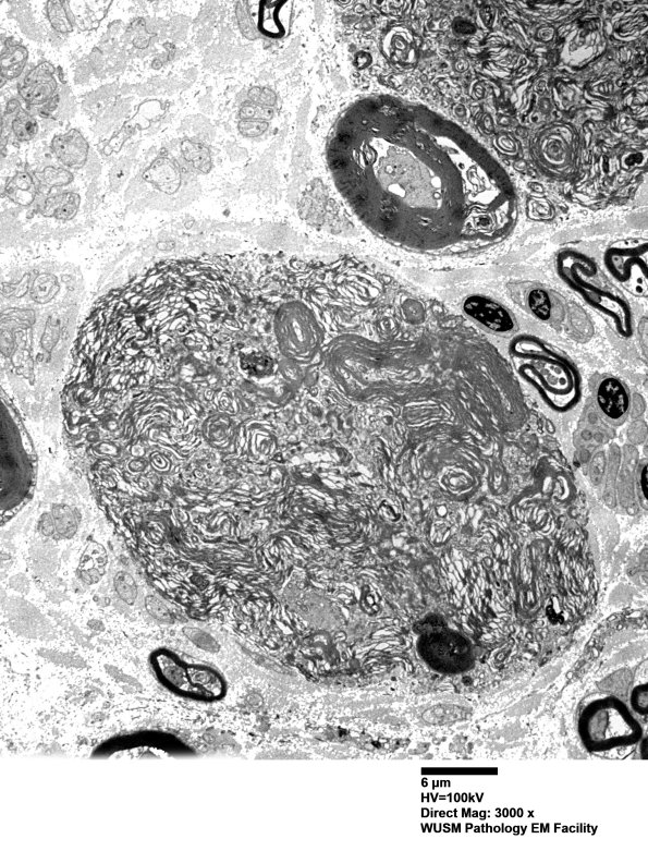
14B4,5 Additional examples of large axons with crush artifact. (electron micrographs)


Gallery RSS RSS Feed | Archive View | Login | Powered by Zenphoto