Table of Contents
Washington University Experience | PERIPHERAL NEUROPATHY | 0 PNS ARTIFACTS | 16A1 artifacts, crush & vesicular myelin Plastic 3.jpg
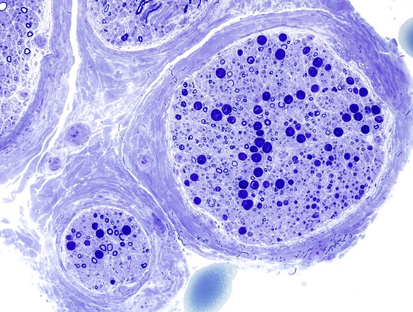
16A1-4 The ”half myelinated artifact”. I am sure this appearance usually represents an artifact but I am not at all sure about the delicate membrane invasion of the underlying axoplasm which typically accompanies it (see later EM section 16B1-6).
