Table of Contents
Washington University Experience | PERIPHERAL NEUROPATHY | 0 PNS ARTIFACTS | 16A3 Artifacts, crush & vesicular myelin Plastic 5 copy.jpg
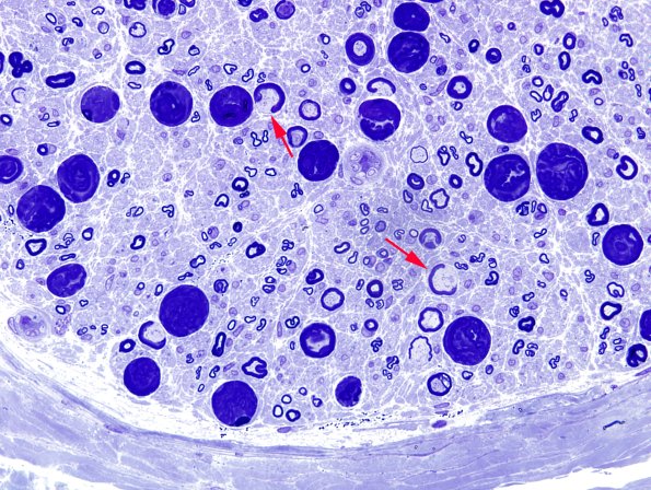
16A3,4 The mysterious artifact (arrows) looks like it must involve herniation of the axoplasm through/around the myelin sheath. (Toluidine blue stained one micron thick plastic embedded sections)
